Chirurgien-Dentiste Esthétique Implantologie
Accueil
Le Cabinet
Les Soins
BLOG
Contact
Accueil
Le Cabinet
Les Soins
BLOG
Contact
Téléphone : 04 37 51 73 99
34 rue de Créqui, 69006 LYON
Du lundi au vendredi
de 9h à 12 & 14h30 à 18h
Plan
Accès
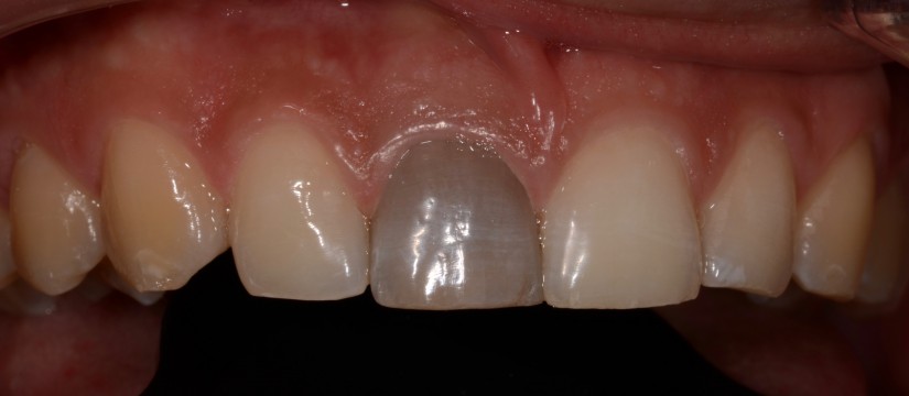
Dent assombrie
Réalisations Avant/Après
14 juin 2017
0
Cabinet Dentaire
Dent noircie avant traitement
…après blanchiment interne, 3 semaines plus tard
Share:
.
Color Skin
Nav Mode
Horizontal
Vertical
Static
Sticky